Live in USA


Home    Stock    Insurance    Car    Airline   BigCompany   Others  Map


Mesothelioma

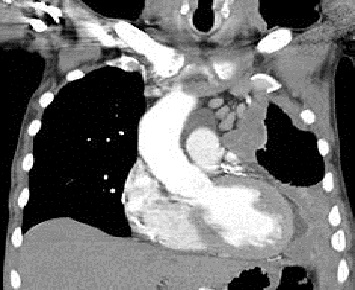
Mesothelioma (or, more precisely, malignant mesothelioma) is a rare form of cancer that develops from cells of the mesothelium, the protective lining that covers many of the internal organs of the body. Mesothelioma is most commonly caused by exposure to asbestos.1 The most common anatomical site for mesothelioma is the pleura (the outer lining of the lungs and internal chest wall), but it can also arise in the peritoneum (the lining of the abdominal cavity), the pericardium (the sac that surrounds the heart),2 or the tunica vaginalis (a sac that surrounds the testis).
Most people who develop mesothelioma have worked in jobs where they inhaled or ingested asbestos fibers, or were exposed to airborne asbestos dust and fibers in other ways. Washing clothes of a family member who worked with asbestos also creates a risk for developing mesothelioma.3 Unlike lung cancer, there seems to be no association between mesothelioma and tobacco smoking, but smoking greatly increases the risk of other asbestos-induced cancers.4
Signs and symptoms of mesothelioma include shortness of breath due to pleural effusion (fluid between the lung and the chest wall), chest wall pain and constitutional signs such as unexplained weight loss. The diagnosis may be suspected based on chest X-ray and CT scan findings, but must be confirmed either by examining serous effusion cytology or with a biopsy (removing a sample of the suspicious tissue). A thoracoscopy (inserting a tube with a camera into the chest) can be used to acquire biopsy material, and allows the introduction of substances such as talc to obliterate the pleural space (a procedure called pleurodesis), preventing more fluid from accumulating and pressing on the lung. Despite treatment with chemotherapy, radiation therapy or sometimes surgery, mesothelioma carries a poor prognosis. Research about screening tests for the early detection of mesothelioma is ongoing.
Working with asbestos is the major risk factor for mesothelioma.6 In the United States, asbestos is the major cause of malignant mesothelioma7 and has been considered "indisputably"8 associated with the development of mesothelioma. Indeed, the relationship between asbestos and mesothelioma is so strong that many consider mesothelioma a ˇ°signalˇ± or ˇ°sentinelˇ± tumor.9101112 A history of asbestos exposure exists in most cases. However, mesothelioma has been reported in some individuals without any known exposure to asbestos. In rare cases, mesothelioma has also been associated with irradiation, intrapleural thorium dioxide (Thorotrast), and inhalation of other fibrous silicates, such as erionite. Some studies suggest that simian virus 40 (SV40) may act as a cofactor in the development of mesothelioma. This has been confirmed in animal studies,1314 but studies in humans are inconclusive.
Asbestos was known in antiquity, but it was not mined and widely used commercially until the late 19th century. Its use greatly increased during World War II. Since the early 1940s, millions of American workers have been exposed to asbestos dust. Initially, the risks associated with asbestos exposure were not publicly known. However, an increased risk of developing mesothelioma was later found among shipyard workers, people who work in asbestos mines and mills, producers of asbestos products, workers in the heating and construction industries, and other tradespeople. Today, the official position of the U.S. Occupational Safety and Health Administration (OSHA) and the U.S. EPA is that protections and "permissible exposure limits" required by U.S. regulations, while adequate to prevent most asbestos-related non-malignant disease, they are not adequate to prevent or protect against asbestos-related cancers such as mesothelioma.17 Likewise, the British Government's Health and Safety Executive (HSE) states formally that any threshold for exposure to asbestos must be at a very low level and it is widely agreed that if any such threshold does exist at all, then it cannot currently be quantified. For practical purposes, therefore, HSE assumes that no such "safe" threshold exists. Others have noted as well that there is no evidence of a threshold level below which there is no risk of mesothelioma.18 There appears to be a linear, dose-response relationship, with increasing dose producing increasing disease.19 Nevertheless, mesothelioma may be related to brief, low level or indirect exposures to asbestos.8 The dose necessary for effect appears to be lower for asbestos-induced mesothelioma than for pulmonary asbestosis or lung cancer.8 Again, there is no known safe level of exposure to asbestos as it relates to increased risk of mesothelioma.
Download